virtual tour

Emergency Trauma Services

Emergency Trauma services in Mumbai are available at Wavikar Eye Hospital. Orbital trauma is a general term used to describe injuries to the bones surrounding the eye (orbit), the tissues surrounding the eye, or the eye itself.

The following injuries can be categorized as orbital trauma:

ORBITAL FOREIGN BODY

Emergency Trauma services in Mumbai are available at Wavikar Eye Hospital. Sometimes foreign objects such as metal, dust, wood, and others can hit and become embedded in the eye or orbit. If your symptoms and the circumstances in which they arose are suggestive of a foreign body your ocular plastic surgeon will ask a number of questions to try to determine the type and size of the object, as well as its speed and angle at impact.The surgeon will thoroughly examine the eye looking for any damage to the eye or surrounding tissues. f there is a possibility that the foreign object is deep within the eye, X-rays or a CT scan may be needed to determine its location.

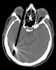
3D-CT reconstruction ofa-child-who-fell-on-a-writing-pen-The-pen-entered-the-right

A CT scan will also show whether there are associated fractures and if the object has penetrated into any deeper structures, such as the brain. If the foreign body is wooden it may not be seen on X-ray or CT, and an MRI scan may be necessary. Emergency Trauma services in Mumbai are available at Wavikar Eye Hospital.

These tests are all necessary to determine whether the foreign body should be surgically removed. Following removal of the foreign body, antibiotics will be prescribed to avoid any infection. Emergency Trauma services in Mumbai are available at Wavikar Eye Hospital.

3D-CT reconstruction of a child who fell on a writing pen. The pen entered the right

ORBITAL PENETRATING INJURY

A penetrating eye injury means an object has pierced the tissues surrounding the eye or the eye itself.
When a facial injury involves the eye area and causes significant skin trauma, penetrating injuries to the eyelid, eye, eye muscle, bone or even the brain may not be immediately obvious. A complete eye examination is necessary to exclude injury to these structures. If the object has penetrated into the area of the brain, a neurological examination may also be necessary. Once the extent of the damage has been determined, the ocular plastic surgeon will concentrate on surgically repairing the damaged tissues at Emergency Trauma services in Mumbai.

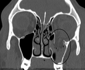
ORBITAL BLOW-OUT FRACTURES

The bony, pear-shaped socket that surrounds and protects the eye is called the orbit. When an object larger than the size of the orbital entrance hits the eye but doesn’t penetrate, the force can literally cause a “blow out” of part of the orbit. The bone that forms the floor of the orbit is particularly prone to this type of fracture, known as a blow-out fracture. Blow-out fractures often occur when a fist or ball, or the dashboard of a car during a motor vehicle accident, strikes the eye. Emergency Trauma services in Mumbai are available at Wavikar Eye Hospital.A possible complication of orbital floor fracture is that the eye may partially drop down into the maxillary sinus, which is directly beneath the orbital floor, trapping some of the muscles that move the eye.

Pblowoutfracture

DIAGNOSING ORBITAL BLOW-OUT FRACTURES

Warning signs of orbital blow-out fracture include bruising around the eye, double vision, protrusion of the eye, and/or numbness in the cheek and upper teeth areas. The ocular plastic surgeon will examine the eye carefully whether it has been damaged. A CT scan will also be performed to assess the extent of the fracture.

Emergency Trauma services in Mumbai are available at Wavikar Eye Hospital. Based on the complete evaluation, your ocular plastic surgeon may recommend surgery. Factors influencing the timing of surgery include persistence of double vision, enophthalmos (the eye appears shrunken in the orbit as the swelling subsides), any limitation of eye movements, and the size of the fracture.

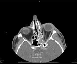
Left sphenoid sinus fracture near optic canal

TRAUMATIC OPTIC NEUROPATHY

The optic nerve runs from the back of the eye to the brain, where images from the eye are processed and interpreted. Some people who sustain a head injury damage their optic nerve. This can be due to fractures of the bony canal that the nerve runs through or from swelling or damage to the blood vessels supplying the optic nerve. Traumatic optic neuropathy causes loss of vision in the affected eye. Emergency Trauma services in Mumbai are available at Wavikar Eye Hospital.

The loss of vision is usually instantaneous. A full eye examination is performed to assure no damage has occurred to the eye itself, as well as a CT scan or MRI scan to assess the optic nerve and nerve canal.

Treatment may consist of:

  • Intravenous steroids (cortisone drugs) to decrease the inflammation of the nerve Surgery to correct any fractures

  • All people with this condition will be closely monitored in the hospital.

CORNEAL ABRASION AND EROSION

Any injury to the superficial layer of the cornea (epithelium) resulting in a defect is called abrasion. Emergency Trauma services in Mumbai are available at Wavikar Eye Hospital. The following type of trauma is likely to result in a corneal abrasion:

  • Contact Lens mishandling

  • Foreign Body

  • Fingernail injury

Detailed image of corneal abrasion

The cornea has a rich supply of sensitive nerve abrasions results in severe pain and photophobia (sensitivity to light). Most abrasions heal spontaneously due to their superficial nature. The use of lubricating drops and ointment during this period adds to the comfort of the eye.

If the abraded area is large or if it is relatively deep, the eye is patched. This helps by:

  • Giving mandatory rest to the eye

  • Avoiding constant blink movement interfering with the healing process

  • Preventing dust and other infective particles from entering the eye thereby reducing the risk of infection

  • Giving relief from disturbing symptoms of pain and photophobia

Smaller abrasions are allowed to heal without patching but an antibiotic drop and/or ointment is prescribed for those days to avoid infection. The patient is advised not to rub the eyes vigorously to void damaging the newly formed delicate epithelium.

If a defect occurs in the corneal epithelium in the absence of any external factors it is termed as Erosion. Some patients have a tendency for repeated spontaneous corneal erosions due to the faulty adhesion mechanism of the superficial layers of the cornea. The complaints associated with erosion are similar to an abrasion. Recurrent erosions frequently occur in the morning on sudden forceful eye-opening upon waking. Dry Eyes are more prone to this.

Smaller erosions can be treated just by lubricating drops and ointment whereas sometimes a protective (bandage) contact lens can be placed in the eye to prevent eyelids rubbing on the cornea and interfering with the healing.

Recurrent erosions may require to be treated by surgical modalities like micropuncture of the epithelium and stroma underneath with a needle or excimer laser. Sometimes the damaged epithelium is removed with chemicals like alcohol and the healthy epithelium is allowed to grow back. Emergency Trauma services in Mumbai are available at Wavikar Eye Hospital.

Related Searches

Eye Surgeon | Eye Surgery | Eye Specialist | Eye Treatment | Eye Hospital